The spokesperson for the Egyptian Ministry of Health and Population, Hossam Abdel-Ghaffar, denied claims on social media regarding an outbreak of meningitis in Egypt and its connection to the ministry’s decision to raise the level of preparedness in hospitals.
During a phone interview on Al-Hadath Al-Youm channel on Sunday, he stressed that the rumors were “completely unfounded.”
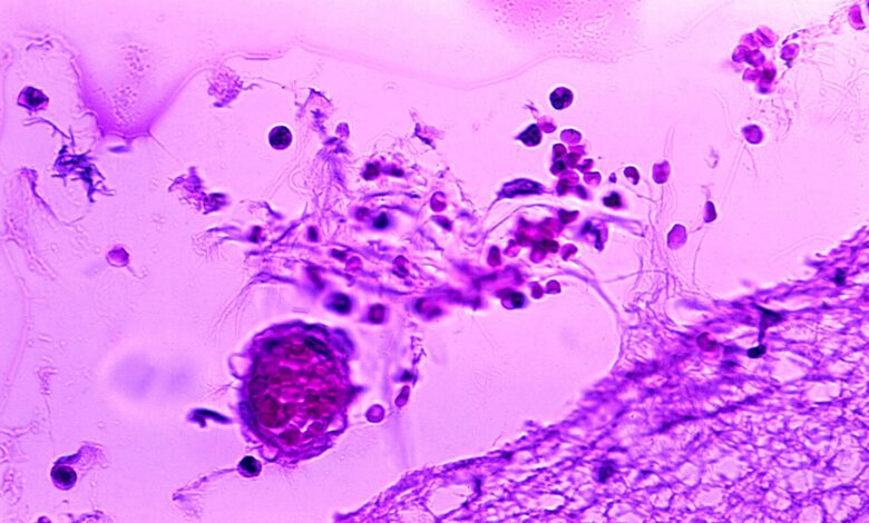
He assured that Egypt is free of any meningitis outbreak, noting that individual cases are being treated according to treatment protocols approved by Health Ministry.
These protocols are based on accurate diagnosis of infected individuals, isolation when necessary, contact tracing, and the provision of appropriate treatment, he explained, coming as part of the surveillance system of the Preventive Medicine sector within the Ministry.
Abdel-Ghaffar said that the decision to raise the level of preparedness in hospitals is also simply a routine precautionary measure due to the severe weather fluctuations the country has recently experienced.
He emphasized that, “This is a well-known and standard procedure followed by health authorities in all countries worldwide.”
Remote work system
Abdel-Ghaffar also discussed the impact of the decision to implement a remote work system every Sunday during April on the Ministry.
He indicated that this decision will apply to the ministry’s offices, whether in the New Administrative Capital or in the governorates, and to health directorates – but not to hospitals, primary care units, or other service delivery locations, which he said are exempt from the decision.
Private clinics are also exempt, Abdel-Ghaffar said, explaining that, “Places providing direct healthcare services to citizens, whether governmental or private, are not subject to this decision, according to the Prime Minister’s decree on this matter.”



